辨析肺结节VS肺结节病 一字之差却各有千秋
信息来源:昭通市第一人民医院发布时间:2024-01-09阅读数:10348作者:昭通市第一人民医院
肺结节
根据2018版中国肺结节诊治中国专家共识:
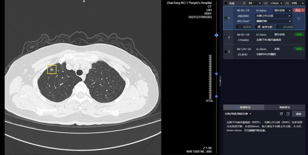
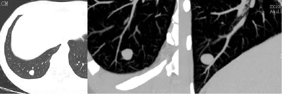
1 、病灶直径小于0.5cm,定义为微小结节,恶性肿瘤可能性小于1%。
2、病灶直径在0.5-1cm,定义为小结节,恶性肿瘤可能性25-30%。3、大于3cm的称为肿块。直径大于2cm的肿块,恶变率在64-82%。
其中微小结节和小结节大多只需要定期随访,不需要任何干预,随访的时间一般为半年到一年;肿块不在本共识讨论范围内。
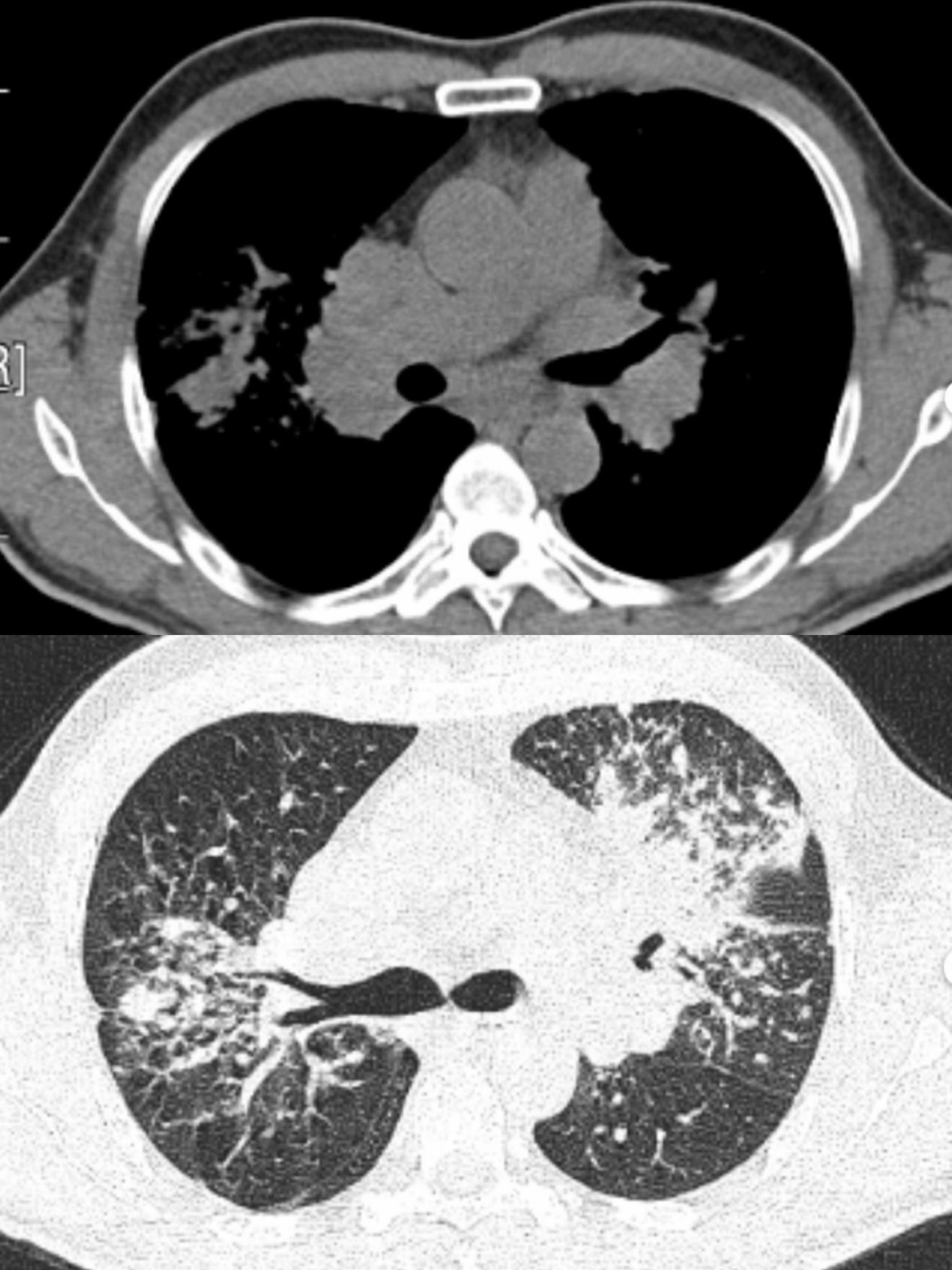
实性结节:
磨玻璃结节:
部分实性结节:
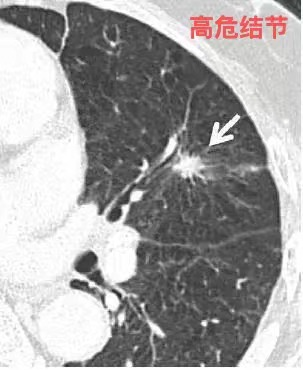
肺癌高危结节
肺结节的病因:
①感染:病原微生物如细菌、病毒、真菌、支原体等感染后导致;
②理化因素:工业粉尘、烟雾(香烟、厨房油烟、烟草燃烧)与化学药物等;
③肿瘤;
④遗传因素等。
肺结节病
肺结节病诊断标准:
结节病属于排除性诊断,尚无客观诊断标准;可以基于如下三个主要条件:
1、具有相应的临床表现或(和)影像学特征。
2、至少一处受累部位的组织活检病理提示为非坏死性肉芽肿性炎。
3、除外其他原因所致的肉芽肿性疾病。
昭通市第一人民医院放射科简介:
CT室咨询电话:0870-2153963
