我院产科在多学科团队的协作下 成功为一名凶险性前置胎盘伴胎盘广泛 植入的患者保留了子宫
信息来源:昭通市第一人民医院发布时间:2018-12-21阅读数:10721作者:昭通市第一人民医院
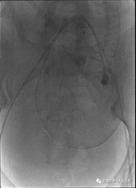
近日我院产科收治了一名由县级医院转入的孕妇。该孕妇年龄33岁,孕期多次B超提示:中央性前置胎盘伴植入可能。孕妇于2012年在其他医院行剖宫产术,2017年因瘢痕妊娠在云大医院行介入下手术。该孕妇入院后科室手术团队反复在科内B超下评估,结合她的病史及辅助资料考虑该患者胎盘植入的可能性很大,病情危急,决定术前邀请请普三科主任赵雄会诊。经会诊后拟术前行双侧髂内动脉球囊导管临时置入术。



术中见子宫下段血管丰富,怒张明显,胎盘广泛植入于子宫下段,伴穿透。如果按传统的胎盘打洞开窗取胎手术,孕妇可能瞬间大出血,危及生命。产科主任曹华及团队医师临时应变,经讨论决定借鉴省内外处理凶险性前置胎盘成功的经验,大胆探索子宫双切口术式,在接近宫底部取第一切口娩出胎儿后,由普三科手术团队行双侧髂内球囊临时阻断,子宫切口出血立即减少,剥离子宫切口周围胎盘组织,关闭第一切口。下推膀胱于子宫下段取第二切口,手剥胎盘,关闭第二切口。
时间转瞬即逝,绷紧的神经和几近凝结的空气,术中氛围压抑人心。大家全神贯注默契配合,步骤统一,先后有序,直至手术顺利完成。该孕妇术中出血约2000ml(凶险性前置胎盘出血平均7800ml),成功保留了子宫,母子平安,手术团队终于如释重负。

术后孕妇恢复良好,达到手术目的(不但保住了患者的生命,还保留了患者的生育能力)。以前确诊为凶险性前置胎盘患者要么转上级医院,要么切除子宫。子宫是女人最重要的生殖内分泌器官,生育期的女性,子宫犹如生命一样重要,然而切除子宫后对患者造成心理创伤很大,因已不能生育,患者会出现产后抑郁,生活质量下降,甚至自残自杀等问题,不得不引起大家关注和重视,作为医务人员追求就是尽全力减轻患者疾苦,让患者恢复健康,美好地生活着,这是我们的初衷,也是我们全部的企盼。
本次手术的成功给我们积累下宝贵经验,一是再次突出多学科团队协作的重要性(普三科、ICU、手术室等团队成员密切配合);二是及时根据术中情况应变,大胆尝试改变凶险性前置胎盘的传统手术方式,这就要求医师以更高标准要求自己,提升业务技术水平;同时鼓励了各相关科室进行技术革新,锐意进取,更加虚心、精心、细心,为更多孕妇健康提供坚实保障。
知识链接:
凶险性前置胎盘:是指既往有剖宫产史,此次妊娠为前置胎盘,胎盘附着于子宫切口瘢痕处,并常伴有胎盘植入,是导致产前、产时、产后大出血的主要原因之一,出血凶险,常并发休克和弥漫性血管内凝血等严重并发症,孕妇死亡率高达7%以上。
