影像专家说|如何让您的臂丛神经同“频”共“振”
信息来源:昭通市第一人民医院发布时间:2023-08-09阅读数:9795作者:昭通市第一人民医院
臂丛神经是支配上肢运动的主要神经,臂丛神经损伤通常是因为外伤和产伤等因素导致的,是一种比较严重的神经损伤,对于患者的生活质量和身心健康会造成十分严重的危害,也是周围神经损伤中最为复杂的一种,且诊断较为困难。以往临床诊断主要根据病史、症状、体征, 依靠肌电图、诱发电位等电生理检查, 缺少臂丛神经解剖结构及病变的直观显示。而对于臂丛神经损伤的诊断与治疗,首先要准确的进行定位、定性诊断,才能有效的进行治疗、恢复,从而达到一个最好的疗效。


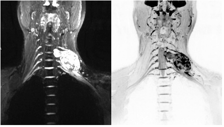
病例
术前检查

术后复查

目前此项检查应用于:臂丛神经节前及节后损伤、臂丛神经损伤分型、臂丛神经源性肿瘤、急性臂丛神经炎、臂丛神经放射性纤维化、肿瘤侵犯臂丛神经、胸廓出口综合征、四边孔综合征等。
检查体验感受:
咨询电话:0870-2153319
