生命的守护 —— 我院重症医学科历经60余天成功救治新冠病毒感染重症患者
信息来源:昭通市第一人民医院发布时间:2023-03-28阅读数:10193作者:昭通市第一人民医院
自去年年底以来,全国各大医院的ICU病房呈爆发似地收治了大批危重新冠感染患者,我院重症医学科也不例外,长期处于超负荷运转状态,这是一场没有硝烟的战争,这里的医护人员每天都在争分夺秒,同死神赛跑。

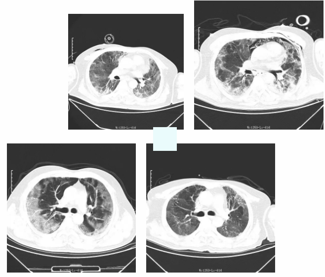
今年年初,家住鲁甸县年满51岁的x先生,因“咳嗽、咳痰、胸闷、喘息1周余,且发热2天”到我院发热门诊就诊,通过相关检查,X先生被确诊为新冠病毒感染。在经过几天的系统治疗后,X先生的病情仍未见好转,随后便出现呼吸衰竭症状,ARDS,肺部CT显影双肺近乎全白。当时情况十分危急,于是当值医师即刻反应,让X先生从普通病房转入重症医学科进行紧急救治。

长程俯卧位通气
由于患者患有糖尿病和心律失常等一些基础疾病,导致其自身的免疫功能低下,所以感染新冠之后极为容易转为重症。由于部分的病毒性肺炎可在发病后10余天左右出现病情的快速进展,即患者随时可能由重症转危重症!
“患者转来我们科室的时候很严重,出现了呼吸窘迫,顽固性低氧血症,脓毒性休克,血氧饱和度一度低至50%,已出现意识丧失等症状,我们科室上下第一时间组织了抢救,行气管插管、上呼吸机、及液体复苏等一系列抢救措施,我们与死神斗争,争分夺秒,终于——将此患者从死亡线上将其拉了回来!”重症医学科主任赵杨说道。

纤维支气管镜肺泡灌洗
为了挽救此患者生命,使其能够得到及时有效的治疗,主任赵杨举全院之力邀请相关科室会诊,并采取远程沟通的方式与省级专家反复讨论,最终商榷了个体化救治方案。
“在这段时间内患者多次病危,并发了纵隔气肿,气胸,肺部难治性混合感染,血氧饱和度最低的时候低至40%,我们针对他的情况精确调整了呼吸机参数实施肺保护性通气策略,20余天长程采用俯卧位通气、抗感染治疗,行气管切开、纤支镜下肺泡灌洗,进行肺复张,每日床旁超声评估,对其进行免疫调节,营养支持,重症康复等多种治疗手段,使得患者的病情逐渐趋于稳定。”
在ICU内,医护人员24小时守护X先生的床旁,一边密切监测生命体征和管理各种生命管道,一边对异常情况及时调整和处理。与此同时他们还着重关注患者的心理状态,对其进行适时地鼓励、安抚照顾着患者的情绪。

X先生的病情趋于稳定后,人也精神了很多,但是可能由于长时间的待在这样一个陌生的环境里,几经病痛折磨,他的内心渐渐开始焦虑和失落,对治疗失去信心,由于机械通气长期制动和卧床,患者出现了肌肉萎缩,肌力降低的症状,患者急需重症康复治疗,我们便根据病情适时调整治疗方案,医护人员每日坚持给患者行康复治疗,每日鼓励且帮助X先生下床活动,促进肺功能恢复。同时与赵杨主任沟通后决定每天安排家人进来陪伴他一段时间,自从有了家人的陪伴和我们医护人员的不断鼓励、耐心安抚,X先生心结逐渐打开,心情也开朗起来,积极配合我们的治疗。
“在ICU里和抢救患者同样重要的,就是人文关怀,既要医病,更要治心!生命真的很脆弱,有时候它的逝去就只在一瞬间。对我来说,最幸福的事情莫过于看着危重患者从我们ICU病房转出去”重症医学科护士长葛萍说道。
在经过60余天的积极抢救治疗后,X先生成功由ICU转入康复科进行治疗,“谢谢你们对生命的守护,始终没有放弃他!”X先生的家属紧握赵主任的手眼含热泪激动地说道。赵主任表示,“ICU成立的意义就是把医院的优质资源整合起来,集中到一个地方,搭建抢救患者生命的快捷通道。尽一切可能抢救患者的生命,给患者生的希望,这就是我们ICU存在的价值和意义!

图片为X先生病情完全好转稳定,已成功脱离呼吸机,顺利转出重症医学科后续康复治疗,在离开医院时,在患者及其家属的要求下一起与重症医学科医护合影!为表达对医护人员的感激之情,家属还送上了锦旗。

我院重症医学科团队,团结奋进、锐意进取,不仅承担着全院急危重症的救治工作,还是全院危重症患者生命的最后一道防线。目前开展有创、无创机械通气、俯卧位治疗、支气管镜、床旁超声、血液净化技术,ECMO技术,熟练掌握肺保护性通气策略、营养支持、镇痛镇静、血流动力学监测等技术,誓将为全市人民的生命健康保驾护航!(供稿/重症医学科 罗洪才)
